名古屋市緑区有松町大字有松三丁山331-1
名鉄線有松駅より南に徒歩10分

診療時間
9:00~17:30 × ×

休診日:日曜・祝日

2011年 つゆくさブログ 2

H23年12月29日

少しだけスタッフ紹介を更新しました。

来年度、歯科医師、歯科衛生士、歯科助手(経験者)を募集したいと思います。

また詳細はブログなどでアップしたいと思います。

H23年12月28日

年末年始休業のお知らせ

恐れ入りますが以下の期間、医院をお休みさせていただきます。

2011年12月30日(金)〜2012年1月4日(水)

12月29日は午前中の診療のみになります。

師走といいますが、私にとってこの12月は本当に師走でした。

H23年12月5日

昨日福岡に「根分岐部病変について」というお題の講演会に行ってきました。

インプラントや審美のセミナーがもてはやされる昨今、このような地味な講演会は珍しいのですが、私としてはかなりのツボでもあり、前々から予定を組んでいました。

根分岐部病変とは、歯周病が悪化して、奥歯(主に大臼歯)の根と根の間の骨が溶かされて、そこに細菌が定着してしまう状態です。

この根分岐部病変の状態が悪化するのに比例して、歯周病が治りにくくなります。

アメリカでは、根分岐部病変がある程度進行した場合、迷わず抜歯してインプラント、だそうです。

このような考えは日本にも広まりつつあり、抜歯を宣告されるケースも多くなっているようです。

しかし、この根分岐部病変、治療仕方によってはまだまだ歯周病の進行を抑えることができます。

できれば抜歯は最後の手段として、できるだけ必要な歯は残して使っていくようにするのが日本の歯周病の治療ではないかと思っております。

今回の講演会は、知識の復習にとても役に立ち、恩師の長崎大学歯周病学講座の教授や講座の先生達とお会いすることもできました。

また前日の土曜日の夜は、歯学部ラグビー部の先輩達とお酒を飲みながらいろいろな相談ができ、とても有意義な時間を過ごすことができました。

H23年11月14日

前回に問題として出しました「歯周病を治すための考え方」ですが、もうお答えは出たでしょうか?

ただ漫然と歯石をとっていても歯周病は治りません。

ただ薬を飲んだだけでも歯周病は治りません。

まずは歯周病についてどのように対応したらいいか理解していないといけません。

歯周病を治す上で大切なことは、

口の中を、また個々の歯や歯茎を、身体が適応できる状態にすること

です。

歯周病でなぜ骨が溶けてしまうのか、これは前回お話ししました。

身体が菌に侵入されないために、自らの骨を溶かすのだと。

そう、たくさん菌が住み着いた状態の歯に身体は適応しきれないため、その歯の骨を溶かして、その歯を抜けさせることで身を守っているのです。

だから、身体が適応できるように歯から菌や菌の棲みかの歯石を除去する必要があります。

ただし、菌は完全に除去することはできませんし、我々が食事をするたびにすごい勢いで増殖するので、この菌の除去は定期的に行う必要があります。

また、冠や詰め物を入れる場合も、なるべく隙間がないものを入れた方が良く、そして、できるだけ身体に優しい材料で治す方が身体は適応します。

噛む力が過剰にかかっている場合も、歯はその力に適応できず、骨を溶かして抜けることで身を守ってしまいます。

ですから、噛む力のバランスをとることも必要となる場合があります。

このように、「口の中を、また個々の歯や歯茎を、身体が適応できる状態にする」と考えることで、自ずと歯科医がやらないといけないこと、そして患者さんがやらないといけないことは見えてきます。

患者さんは、「自分の口の中を、身体が好きでいられる状態にするんだ」と考え、ハミガキをしたり、食事をしたり、がんばって歯医者に通ったりしていただければいいのです。

さて、あなたの口の中、身体は好きでいられる状態でしょうか?

H23年11月10日

久しぶりにブログに書き込みします。

勉強会で神戸に行ったり、引っ越しをしたり、で何かと忙しいことが続いてついついブログをさぼってしまいました。

そのお詫びというわけではありませんが、

歯周病を治す上で、私が考えるもっとも大切なことをお話ししたいと思います。

「歯周病とはどんな病気か?」について患者さんにお話しをするときに、

「歯周病は歯周病菌という細菌が原因でおこる病気で、その歯周病菌が骨を溶かしていく怖い病気なのです」

とお話することがあります。

わかりやすく話すためにこのように言っていますが、

実は一部間違いがあります。

何かわかりますか?

答えは、

「歯周病菌が骨を溶かす」ではなく、「歯周病菌に反応した自分自身の体(免疫)が骨を溶かす」です。

話がややこしくなるので、簡単に説明する際にはここまでは話ませんが、実は歯周病を治すにおいて大切な考え方なのです。

私の大学院時代の研究分野もまさにこのことについてだったのです。

B Cells Play an Important Role in Lipopolysaccharide-Induced Bone Resorption

  • この論文を読んでも一般の方にはさっぱりとわからないことだと思いますし、各論すぎますのでマニアの方以外は読むことをお勧めしません。

簡単にその仕組みを簡単にお話ししますと、

歯周病菌が歯肉溝内(歯周ポケット内)に存在すると、体はその菌から身を守るために免疫を働かせます。

免疫の初期では好中球やマクロファージという警察官のような細胞がその菌に対応しているのですが、

歯周病菌の方が優位になると、Tリンパ球やBリンパ球などのような特殊警官のような細胞が駆けつけてくれます。

ただ、それでも歯周病菌が優位となった場合、そのTリンパ球やBリンパ球など免疫の細胞が骨を溶かすサイトカイン(指令)を出します。

  • まさにこの辺が私の研究です!

そのサイトカインを受け取った骨の細胞はアポトーシス(自殺)して、こうして骨が溶けていきます。

簡単・・だったかわかりませんが、

このようにして歯周病菌に反応した自分自身の免疫が、骨を溶かしていくということをなんとなく理解できましたでしょうか。

自分で骨を溶かすなんて、なんと自暴自棄な!

なんて、思われたかもしれません。

しかし、考えてみてください。

もし歯周病菌が体の中(骨など)に入り込んでしまったら大変なことになりますよね。

菌が全身に回ってしまったらそれこそ大事です。

だから、歯周病菌が優位になった場合は、免疫力で自らの体(骨)を溶かすことで菌が体の中に入ることを防いでいるのです。

免疫力って素晴らしいですね。

では、上記のことを踏まえて、歯周病を治すにはどのように考えたらいいでしょうか?

歯周病治療におけるマインドセット

また後日お答えしたいと思います。

良かったら一度考えてみてください。

H23年10月25日

当院では会計の際に明細書を発行しております。

(発行を希望されない方には発行しておりません)

今日、知人が患者さんとして来たときに、それを見て少し驚いていました。

初めて見た、と。

実はこの明細書の発行は義務化されているものです。

ですから、当院以外の歯科医院でも発行されているはずです。

カルテコンピューターが旧式で発行ができない場合は、その旨を受付に掲示する必要があります。

昨年度以降に開業した医院であれば間違いなく発行されるはずです。

ちなみに、ちょっと詳しい領収書(現行の区分領収書)とは違います。

こちらが参考になるサイトです。

H23年10月25日

お久しぶりです。

先週の初めにある教材を購入して、それに没頭していたおかげで更新を怠けていました。

すいません。

今日のお昼にCTの点検に歯科器材のメーカーであるモリタさんが来てくれました。

歯科器材のメーカーはいくつかあるのですが、当院ではレントゲン、CT、診療チェア、カルテのコンピューターなどほとんどのものをそのモリタさんで購入しました。

なぜモリタさんでほとんど購入したかと言いますと、いくつか理由はあるのですが一番大きい理由としては、性能が他よりも優れているからです。

また、アフターケアーも素晴らしいです。

実はモリタさんの器材は他のメーカーさんよりも高いことが多いです。

しかし、いくら高くてもレントゲンやCTはとても鮮明に撮影できるため、より正しい診断をするためには安物を買うわけにはいきません。

また、診療チェアも毎回治療するおおもとであり、使いやすく性能が良くなければ治療をする上でとても不都合です。

今日はその診療チェアの給水路の消毒について少しお話したいと思います。

一般的に、歯科診療チャアの中に行きわたる水、およびその回路には、バクテリアが1mlあたり1,000,000バクテリアコロニーに達するものがあると報告されています。

これは、市販の飲料水の規格数値(1mlあたり100バクテリアコロニーを超えないこと)と比較すると、異常に高い数値です。

診療チェアの水が何かまずいのはこのせいでしょう。

よって、当院ではすべての診療チェアを給水回路の消毒が可能なモリタの診療チェアを採用しました。

この診療チェアでは、定期的に洗浄液を給水回路に滞留させることで、給水回路を消毒し、診療時にいつもクリーンな水を供給できるようになっています。

実は、現時点ではこの給水回路が消毒可能な診療チェアは限られており、ほとんどの医院(最近開院した医院も含め)はこれができないチェアを導入しているのが現状です(これができるのはモリタとカボというメーカーの一部の診療チェアのみです)。

いくら器機、器具の滅菌・消毒をしたとしても、診療チェアから供給される水が汚染されていれば、滅菌・消毒した器機、器具は汚染され、ムダになるといっても過言ではないでしょう。

H23年10月14日

今週は忙しい日ばかりで、あっという間に一週間が経とうとしています。

今週の自分へのささやかなご褒美は、明日広大出身の先生と飲みに行くことでしょうか。

私の趣味は読書と食べ歩きです。

食べ歩きでは特にB級グルメが大好きです。

以前知人と飲んでいる時に、そのお店が偶然取材を受けることになりました。

「とても美味しいので今度本を出版するので取材させてください」

とのことでした。

お客に紛れて良い店を取材していたようです。

そのお店は「イタリアン串焼きとワイン もく木」という店です。

そして、その本は「名古屋の居酒屋」という本です。

グルメの本はお店が広告料を払って載せているものばかりだと思っていましたが、この本は違うみたいです。

著者が自分の足でお店を廻り、気に入ったお店だけを取材しているようです。

最近は、この本に載っているお店を中心にB級グルメを開拓中です。

H23年10月8日

今日インプラントされた方がこのようにおっしゃってました。

「する前は初めてのことだからとても怖かったけど、やってみると麻酔が効いてるから痛みもないし、時間もおもったほどかからないし、なんだこんなものなんだという感じでした。」

初めて経験することは確かに怖いですよね。

でも、インプラントをすることで、自分の歯のようにしっかり噛めて、なんでも食べられる生活が取り戻せるのは本当に幸せなことだと思います。

ちなみに、私は4年前にレーシックの手術を受けました。

実は私、とても痛がりで怖がりなんです。

レーシックの手術前は心臓がバクバク鳴っていました。

でも、その後眼鏡をかけなくてもなんでも見えることによって、世界が広がったような気がしました。

痛がりで怖がりな私だからこそ、なるべく痛くなく治療し、気持ちが和らぐよう配慮するよう心がけています。

遠慮なく弱音を吐いてください。

H23年10月7日

たまに聞かれる質問で、

「歯周病を治す薬はないですか?」

というものがあります。

結論から申し上げます。

「ないです。あったらニュースになります(娯楽番組ではなく)。」

なぜ薬(抗生剤)で歯周病が治らないかという理由は、歯周病菌(それ以外の細菌も含め)はバイオフィルム(細菌の集落みたいなもの)を形成しているからです。

いくつかの理由(ここでは省略します)によって抗生剤がバイオフィルム内に浸透しにくいことが言われています。

一般に細菌バイオフィルムを形成すると、数倍から数千倍抗生剤が効きにくくなることがわかっています。

もちろん、全く効果がないわけではありませんが、現時点では抗生剤は歯周病治療の主役にはなっていません。

主役はあくまでも歯石とりやブラッシングなど機械的除去であり、その主役の効果をよりいっそう引き立てる脇役として抗生剤があります。

ちなみに、抗カンジダ菌やパーフェクトペリオ(ハイターを薄めた味のするもの)が娯楽番組などで取り上げられたことがありますが、歯周病に効果があるという科学的根拠が乏しいです。

歯周病学会においてもそれらの応用には注意を促されています。

もちろん、全く否定すべきものでもありませんが、正しい歯周病の治療をすれば、ほとんどの歯周病はコントロール可能であるため、わざわざ科学的根拠の薄いものをチョイスする必要はないと考えます。 

H23年10月6日 噛み合わせと腰痛について

今日、腰痛と噛み合わせについてご質問を受けました。

片方が数十年奥歯がない状態で放置しているせいか、腰痛がかなりひどいとのことで、入れ歯もしくはインプラントを入れることで腰痛が治るのかという質問です。

私の答えとしては、経験上治ることもあるが確証はないというものです。

確かに、噛む筋肉は顎の骨につながっており、また、顎の骨と背骨も筋肉でつながっています。

となれば、片方のみで食事をし続けるというのは、片方の筋肉のみを酷使することになり、それによって背骨の歪みも起こりうるのではと想像できます。

しかし、この噛み合わせと腰痛についての科学的根拠がありません。

もっというと、噛み合わせに関わる病気の科学的根拠はあまり実証されておりません。

これは噛み合わせは個人個人でかなり違うので、研究がとても困難なことが理由にあります。

ですから、噛み合わせと腰痛が関係ないという科学的根拠もないのです。

結局なにが言いたいかといいますと、我々医療人としては科学的根拠のないものを、

「噛み合わせを整えたら腰痛は治りますよ」

と断言はできないということで、

「経験上、また理論上、治る可能性はありますよ。ただし、科学的根拠はありません」

としかお答えできないのです。

「そうかもしれない」ものを「そうだ」と言い切ってしまうことは、歯切れもいいし、説得力もありますが、私は医療人としてはいかがなものかと思います。

科学が絶対的なものではないにしろ、科学的根拠は必ず踏まえる必要があると考えます。

H23年10月5日

先日、神戸で私が勤務していた歯科医院のDrが一人退職しました。

開業のため、ではなく、治療方針が合わないからとの理由でした。

しかし、そのDrはまだまだ経験が浅く、技術も知識もかなり不足している状態だったそうです。

嘆かわしい話です。

経験の浅いうちは、まずは素直にスポンジのように全てを吸収すべきだと思います。

知識と技術がそれなりについてこないと、治療方針なんてものは立たないはずです。

もちろん、経験が浅くとも患者さんを幸せにしたいと思う心は大切です。

どんな歯科医師が良い歯科医師なんだろう、歯科医以外の友人から聞かれた質問に思いつくままに答えてみたいと思います。

必要最低限なことは、患者さんに良くなってもらいたいと思い、それに向けて行動しているDrであること。

  • 知識と技術の研鑽をしていること。
  • 個々の患者さんの気持ちを察しながら、その患者さんにとって何が一番良い方法なのかを常に考えながら、治療および説明をすることを心がけていること。

*自分は人の気持ちを察していると信じている人よりも、人の気持ちを察しているのかなと常に不安に思っている人の方が、本当に人の気持ちを察している人だと思います。

  • スタッフや技工士さんと協調性をもって診療に取り組もうとしていること(医療はチームワークですから)。

名医より良医を目指したいものです。

H23年10月4日

昨日は大阪に勉強会に行っていました。

歯科の勉強会で魅力的なものは東京と大阪に集中しています。

名古屋も大きい都市なはずなのに、これといった勉強会が少ないのが残念です(福岡よりも)。

勉強会の講師の先生曰く、

「名古屋で勉強会を開いても参加する人が少ないからね」

と。

なんとも悲しいかぎりです。

H23年9月30日

9月も今日で終わりです。

月日が経つのは早いもので、先日までセミの声がしていたと思えば、いつの間にか長袖のシャツを着ています。

秋ですね。

読書の秋、いやそれ以上に私にとっては食欲の秋です(笑)。

美味しいものが不自由なく食べられる、普段はこんなことは当たり前と思っていますが、これはとても幸せなことですね。

虫歯なり歯周病なりで歯が悪くなると、突然食べることに難渋することになります。

ましてや歯を失ってしまうと、本当に辛いことだと思います。

私はつゆくさ歯科医院に来ていただける患者さんに、「不自由なく食べられるようになってほしい」と心から思っております。

綺麗な白い歯も大切ですが、その前にまずはしっかり食べれるようになってもらうこと、そしてその状態が長持ちしてもらうこと、これが重要だと考えます。

そこにプラスアルファで綺麗な歯になりたいのであれば、そのように治療していきます。

H23年9月28日

今日の患者さんからの質問で、

「寝るときは入れ歯は外した方がいいですか?」

と聞かれました。

この方の場合は、

「そうです、歯茎を休ませるためにも夜間は外しておいてください」

とお答えしました。

ただし、入れ歯=寝るときは必ず外す ではありません。

人によっては寝るときに着けたまま寝ていただくように指示することもあります。

例えば、部分入れ歯をお使いの方で歯ぎしりをする方は、残った歯だけで歯ぎしりをすると歯を痛めてしまう場合があるため、着けて寝ていただきます。

その代り、日中入れ歯を使わないときに外して歯茎を休めてもらいます。

このように、人によってその取扱い方は変わります。

人間の体ですから、当たり前ですよね。

私の場合はどう?

と思われたらご質問ください。

入れ歯以外のことでもOKです。

H23年9月21日

近年のデフレ現象にともなう値下げによる販売競争によって、ディスカウントショップ、アウトレットモール、ファストフードが大流行しています。

そうした背景の中、その本質を捉えずに「ファストフード」ならぬ「ファスト医療」が登場してきており、同じ医療人として戸惑いを感じています。

「ファスト医療」の特徴は、目につくところは立派で華やかですが、見えないところは手抜きのオンパレードという見せかけの医療で、安売りセラミックやインプラント、技量不足を患者さんへのおもねりでカバーしようとする歯科医院などが増殖しています。

技工物の海外発注や信頼性のない韓国製のインプラント、粗悪な材料や器材の使用、そして挙句の果てが、インプラント使い回しといったことでしょう。

しかし、その「ファスト医療」は歯科コンサルタントによる指導のおかげで、ホームページや医院の外観はとても立派で、ぱっと見はとても素敵な医院に見えてしまいます。

ただ、よくよく調べてみると、そのホームページの文章や医院の理念さえも使い回しだったりします。

もちろん、そうでないきちんとした医院が大多数だとは思います。

そのような「ファスト医療」で被害に遭った方が最近ちらほら見られたので、つい不満をブログでぶつけてみました。

H23年9月20日

今日は台風の影響もあり1日中雨でした。

患者さんから初めて聞いたのですが、実は名古屋の各地区で避難勧告が出されていたそうで・・

幸いつゆくさ歯科医院の付近は大丈夫なようでした。

こんな雨の中でも来ていただいた方々、ありがとうございます。

今日がインプラントだった方、本当にお疲れ様です。

H23年9月19日

今週の土曜日24日は休診とさせていただき、つゆくさ歯科医院は23日から3連休となっています。

私はこの3連休を利用して、新しく購入した司馬遼太郎の「翔ぶが如く」を読みたいと思います。

子供の頃はそれほど読書は好きではなかったのですが、年齢を重ねるにつれ何故か夢中になって読み耽るようになりました。

自分で体験できること、自分で身をもって学べること、これが一番ためになることだとは思いますが、環境に左右され、また限界もあると思います。

しかし、本では自分が知り合うこともできない凄い人の考えが好きなだけ学べますし、いろいろな疑似体験もできます。

昨年までは実用書や自己啓発系の本を読み漁っていましたが、小説もとても面白くためになることに気づきました。

いやいや、単純に面白いから読んでいるだけなのが本音です。

上記はほんの理由づけなんです・・

H23年9月18日

今日はダスキンさんが来てくれて院内の掃除やワックスをかけてくれました。

日々掃除はしていますが、やはりプロには敵いません。

床が輝くくらい綺麗になりました。

ダスキンさん、ありがとうございます。

明日9月19日は祝日ですが、通常通り診療を行います。

その代り、9月24日土曜日は休診させていただきます。

H23年9月17日

新しい診療室ができて1週間が終わりました。

今週は歯周病の手術1つとインプラントの手術2つを行いました。

インプラントの手術のうち1つはソケットリフトという、上顎洞に骨を作る細工をしながらのインプラントを行いました。

上の奥に骨がなくてインプラントができないといわれた場合でも、このような処置をすればインプラントは可能です。

今回のケースは、

これはCTの画像です。

このようにインプラントをする上でCTは必須です。

インプラントをする前にCTにて診断をするのは当然として、インプラントをした直後に正しい位置にインプラントが入っているか、そして骨の状態は問題ないかなど、インプラント直後に確認しないといけないことも多いです。

通常のレントゲンは限界があります。

ちなみに、上の奥に極端に骨が少ない場合はサイナスリフトが必要です。

実際の例で示しますと、

骨が少ないからインプラントが不可能といわれた場合でも、

この方法を用いれば可能となることが多いです。

H23年9月15日

休みの変更

来週の19日月曜日は休日ですが診療を行います。

9時〜13時 15時〜19時

その変わり、24日土曜日は休診させていただきます。

また、22日木曜日は

9時〜13時 14時〜17時

の診療となります。

H23年9月14日

今日は噛み合わせ治療についてお話しします。

噛み合わせ治療とはどのような方が対象でしょうか?

  • 歯がなくて噛めない、
  • 歯はあるけど噛みにくい、
  • 顎の関節が調子悪い、
  • 歯並びが悪い、

など噛むことや、歯並びに関して何かしら問題を抱えていらっしゃる方全てが対象です。

それでは噛み合わせ治療とはどんな治療方法でしょうか?

これも様々です。

1本の歯の噛み合わせを調整することや、ちょっとした癖(くいしばったり、うつ伏せで寝たりなど)を治すだけの指導に終わることもありますし、入れ歯やブリッジ、インプラントで失った歯の代わりをさせたり、仮歯を用いて噛み合わせのバランスを整えたり、などいろいろな治療があります。

今日はその中でも、「仮歯での噛み合わせのバランスを整える治療」について例を出して説明していきます。

20代の女性ですが、ほとんどの歯が虫歯で奥歯は抜けてしまったところもあります。

当然ですが奥では食事ができないとのことでした。

まずは虫歯の治療や根の治療、そして歯茎の治療をしていきます。

これは土台工事のようなもので、ここがしっかりとしていないと後で大変なことになります。

さて、このように噛むところも定かでない状態では、最終的にどのように治るか検討しずらいところもあります。

そこで、

この方の設計図をワックスを用いてつくります(これを診断用waxupといいます)。

これによって、私も患者さんも目標が明確になります。

また、インプラントをする位置も明確に決まっていきます。

この設計図を基に、口の中の菌(虫歯菌および歯周病菌)が可及的に少なくなったところでインプラントを行いました。

そして仮歯にてリハビリを行います。

左右の奥歯がずっとなかったこともあり、いきなり完成させるのは危険です。

まずは削ったり足したりすることができる仮歯にて、噛むこと、会話すること、飲み込むことなどのリハビリをしていきます。

仮歯にて噛むこと、会話すること、飲み込むことが問題なくできて、噛み合わせが安定したのを確認した上で完成となりました。

ただ綺麗な歯を入れるだけではしかっりと噛めるとは限りませんし、長持ちするのは難しいでしょう。

口の中が壊れている場合は仮歯でのリハビリは必須と言えます。

このような治療は、虫歯、歯周病、矯正、予防、咬合など全ての知識と技術がないと行うことはできませんし、勉強会で学んだからすぐできるというものでもありません。

かなりのトレーニングと先駆者からの指導が必用で、且つ、この仮歯や完成の歯を作ってくれる技工士さんが適切な知識と技術をもっていることです。

幸い、私は神戸で勤務していた頃に先輩の指導を受けながらたくさんの症例を受け持つことができました。

勉強会に関しては数えきれないくらい行き倒しました。

そして、この噛み合わせ治療を一緒に行っていける素晴らしい技術と知識をもった技工士さんとも知り合うことができました。

神戸の技工所ミネルバの
所長の藤澤氏です。

氏の技工所は神戸なのに、他の県からもオーダーがあるほど凄腕の持ち主です。

凄腕なのに性格はとても気さくで、神戸にいるときはよくいっしょに飲みに行ったものです。

インプラントの冠やセラミック、噛み合わせに治療に関わる歯は氏にほとんどお願いしています。

氏の技工所は神戸なのに、他の県からもオーダーがあるほど凄腕の持ち主です。

凄腕なのに性格はとても気さくで、神戸にいるときはよくいっしょに飲みに行ったものです。

インプラントの冠やセラミック、噛み合わせに治療に関わる歯は氏にほとんどお願いしています。

いくつか他の例も提示しておきます。

初診→仮歯

ちなみに、当たり前ですが全て私が担当した患者さんです。

きちんと治療できる歯科医院かどうか見分けるのは、自分の症例をしっかりと提示できているかどうかだと言う先生がいますが、確かにそれは一理あるように思っています。

インプラントをしたことがない先生が、ホームページでインプラントをやっていますと歌っているのをよく散見します。

しかし、かならずといっていいほど自分の症例の提示がありません。

H23年9月12日

今日から診療室が一つ増えました。

今までの診療室よりもさらに広い個室となります。

これでインプラントや歯周病の小手術の時も広々と診療できます。

また、急の患者さんにも十分対応できます。

今月もインプラントの手術や歯周病の手術が週2~3回ペースで入っていますので、どんどん活用していきたいと思います。

H23年9月9日

夜間の歯ぎしりやくいしばり対策として、ナイトガードというものがあります。

このナイトガードは面が平らとなっており、歯ぎしりやくいしばりで生じた力を緩衝してくれる作用があります。

ただ、歯ぎしりやくいしばりを止める作用はありません。

また、ナイトガードの材質は硬いもので作る必要があります。

軟かい材質だとくいしばりを誘発してしまうので逆効果です。

ちなみに、保険診療で作ることが可能です。

H23年9月8日

今日の患者さんで噛む合わせると歯が痛いという方がいました。

多くの場合、歯周病や虫歯の末期、歯が割れているということが原因なのですが今回は違いました。

無意識下でのくいしばり(クレンチング)が原因で痛みがでているようでした。

無意識下でのくいしばり(クレンチング)とは、あまり聞きなれていない方もいるかもしれませんが、実は多くの方が多かれ少なかれしています。

特にストレスが溜まっているときや、仕事や家事に集中しているときに上下の歯をグッとかみ合わせているのです。

寝ているときにすることも多々あります。

このくいしばり(クレンチング)は、無意識でするのでたちが悪いです。

意識して噛みしめる場合は力の加減ができますが、無意識の場合は想像以上の力で噛みしめていることも多いです。

また、普通は唇は閉じていても上下の歯は食事中以外はかみ合わせずにいるものですが、癖として日常もずっと上下の歯を合わせている方もいます。

このように上下の歯を強く合わせたり、合わせている時間が長いと、噛む筋肉は緊張し続けることで疲労して痛みがでたり、顎の関節に痛みがでたり、肩が凝ったり、歯が敏感になって知覚過敏になったり、噛むと痛みが出やすくなったり、歯周病の進行が速くなったり、と口の中の病気を悪化させる大きな原因となります。

まず気をつけることとしては、日中意識して歯を合わしていないか確認して、もしくいしばっていたり、合わせている場合は力を抜くことです。

また、頬杖をついたり、うつ伏せで寝ることも、体重がかかるのを支えるために自動的にくいしばってしまうので、意識してそのようなことはしない方がいいです。

ちなみに、歯ぎしりも上記のくいしばりと同様に口の中の病気を悪化させる大きな原因となっています。

H23年9月7日

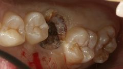
今日の診療で自家歯牙移植がありました。

まだホームページでは紹介していませんので、少し説明します。

自家歯牙移植とは、歯を失った際に親知らずなど主に使っていない歯を移植することです。

例(23歳男性)をあげますと

虫歯で抜かないといけない歯があります(大きく穴があいた歯)。

その奥に噛み合わせに関係ない親知らずがあります(一番右端の歯)。

虫歯の歯を抜いて、親知らずを移植しました。

傷が治って問題なく噛めるようになりました。

このように、歯を失った場合に選択できる方法の一つです。

しかし、移植できる歯が必要でかつサイズが丁度良くないといけません。

また成功率も50%くらいと言われています。

インプラントの成功率は90%以上ですので、それと比べるとやや心もとない気もしますが、何よりいいのは、保険で可能なことです(状況によっては不可能な場合もあります)。

ですから、ブリッジや入れ歯は嫌だけど、インプラントはちょっと手が届かないという人には、いい選択肢になるかもしれません。

H23年9月5日

後悔には、

  • やらなかった後悔
  • やってしまった後悔

の2種類があります。

どちらの後悔がよくないと考えますか?

私は「やらなかった後悔」だけはしたくないと思い、今まで生きてきました。

「やらなかった後悔」は、あとでくよくよ後悔することになります。

もしあの時やっておけば・・なんて考えるだけ時間の無駄のように思います。

「やってしまった後悔」は、その時はとても辛いですが、時間が解決してくれることも多く、

また失敗ほど糧になるものはないと考えていますので、迷ったらからずGoでした。

おかげでたくさんの失恋も経験しましたが・・・(汗)

素敵な経験はそれ以上に得られました。

(ちなみに、歯科診療に関しては十分に考えた上で、患者さんと相談して決めています)

さて、歯が悪いのは知っているが、歯医者に行くと痛い思いをするのではないか、歯を抜かれるのではないか、怒られるのではないか、と悩んでいる方もいると思います。

虫歯も歯周病も自然治癒することはありません。

痛みや腫れといった症状が一時的に楽になることはあるかもしれませんが、ジワジワと病気は進行していきます。

どうぞ、「やらなかった後悔」をせずに勇気をもって歯医者に足を運んでください。

治療するかどうかは別としても、まずは検査と相談だけでも大丈夫です。

話を聞いて、安心できれば治療を受けたらいいのです。

H23年9月3日

今日は暴風が吹き荒れる中、ほとんどの方が予約どおり来ていただきありがとうございます。

 (しかし、危険と思われしときは遠慮なくキャンセルしてください)

小学校時代は、不謹慎ながらも暴風警報がでると学校が休みになるので喜んでいましたが、さすがに今は嬉しいどころの騒ぎではありません。

天災だけは祈るばかりです。

H23年9月2日

昨夜、木下晴弘氏著の「人生が180度変わる幸せの法則」を読みました。

とても読みやすく、引き込まれるように一気に読み終えました。

幸せとは何か、大きなヒントを与えてくれる本だと思います。

一つの物語から大切なことを教えてくれています。

お勧めの本です。

お勧めついでに、

喜多川泰氏著「君とあえたから・・・

この本も、感動の物語からたくさんのことを教えてくれます。

もっと早く、それこそ少年の頃にこの本と出合いたかったものです。

H23年9月1日

当院では初めて来ていただいた患者さんには検査をしていただくことをお勧めしています。

どのような検査かというと、パノラマ(全体的なレントゲン)、口腔内写真(口の中の写真)、歯周基本検査(歯周病の検査)、です。

それ以外にもいろいろな検査がありますが、まずはスクリーニングとして上記の3つは必須です。

パノラマ(全体的なレントゲン)では、ぱっと見ではわからない歯と歯の間の虫歯や冠の中の虫歯をチェックしたり、歯を支えている骨の状態を確認します。

口腔内写真(口の中の写真)では、歯茎の状態や噛み合わせを確認するほか、32型のモニターに大写しにすることで、歯や歯茎の細かい異常も確認することができます。

歯周基本検査(歯周病の検査)では、歯周病の進行度を確認することができます。

成人以降の虫歯や歯周病は、ほとんど慢性的に進行します。

ですから、痛みが出る時はかなり進行した状態であったり、手遅れということもあります。

痛みや異常を感じなくても、病気は知らない間に進行しているものです。

そもそも現代食は虫歯や歯周病を作るために最適なものです。

別に口の中に異常を感じなくとも、検診希望で来ていただいて問題ありません。

ちなみに、上記の検査は全て保険診療で可能です。

H23年8月31日

今日は歯周病治療とレーザーについてお話しします。

結論から言いますと、現時点ではレーザー治療は歯周病にそれほど効果的な治療方法ではありません。

「おまじない」

といった程度です。

当院にはレーザーはありません。

なぜないかと聞かれますと、必要ないからないのです。

レーザー治療、何か凄い治療方法のように聞こえますが、実際の効果のほどはクエッションです。

まず、エビデンス(科学的根拠)が少ないです。

確かにレーザーにおける論文はいくつか報告されていますが、業者絡みの論文であったり、信頼性の低い雑誌での論文であったりします。

また、そうは言っても実際使ってみないとわからないのではという問いに対しては、昨年に勤務していた医院や、大学院時代に非常勤で勤務していた医院に各種のレーザーがあったので、その効果のほどをテストしてみました。

その結果、やはり特別な効果を感じる事はありませんでした。

先日、長崎大学の歯周病学講座の後輩に連絡した際、レーザーの話になりました。

長崎大学歯周病学講座の治療室に1年限定で業者がレーザーを貸出ししたとのことでした。

しかし、教授はエビデンスに欠けるとのことで使うこともなく、他の先生達も試しに使ってみるものの、効果を感じる方はいないとのことでした。

以上

今の時点においては、レーザーを使って歯周病を治療する意味は感じていません。

従来通りの治療方法を適切にきちんとすることが一番大切です。

ちなみに、レーザーを嬉しそうに使っている先生で歯周病の治療をきちんとしている先生を見たことがありません。

H23年8月30日

木下晴弘という方をご存知でしょうか?

アビトレという教員対象とした研修事業をする会社の代表取締役の方です。

もともとは塾のトップ講師をされていたそうで、人を感動させるプロです。

私が木下氏を知るきっかけとなったのは、神戸で勤務医をしていた頃に、あるスタディグループの集会に呼ばれて話を聞いたことでした。

話を聞くまでは、「歯科の勉強をするためにその集会に来ているのに、塾の先生の話を聞いて何か得るものがあるのか?」

と思いながら、いつでも退席できるよう末席で眺めていました。

しかし、木下氏が話し出したとたん、呼吸をするのを忘れるくらいに引き込まれました。

話が面白い、話し方が上手い、映画を観るよりも感動する何かがある・・

あっという間に講演の3時間が終わり、そのまま本屋に行き木下氏の本を購入してしまいました。

こんなに感動した講演は初めてでした。

今日ふと木下氏のアビトレのホームページを見てみると、なんと、先週(8月23日)新しい本が発売されたとのこと!

すぐにアマゾンにアクセスし購入しました。

人生が180度変わる幸せの法則」です。

H23年8月29日

ご無沙汰しております。

徐々にブログの更新のペースが遅くなっていってる、と友人よりアドバイス(苦言)をいただきました。

すいません、実はお盆より読み始めた「坂の上の雲」(司馬遼太郎)に夢中になっておりました。

聞くところによれば、テレビでもNHKにて近年放送されたとのことでしたが、テレビを所持していない私は全く知りませんでした。

なぜ今さらこの本を読みだしたかといいますと、なんとなく小説を読みたかったという気分と、明治維新の頃の新しい時代を切り開く人たちが何を考え、どう行動したのかを知りたかったからです。

現在の日本は、一つの時代が終わろうとしているような気がしてなりません。

景気も低迷し、震災も起こり、まるで幕末の頃と同じような感じです。

それであれば、また新しい時代が来るのではないか、いや、新しい時代を我々が作っていかないといけないのではと思えてなりません。

神田昌典さんも春夏秋冬理論としてそのことを予言しています。

占いみたいですが、この季節判定はやってみると面白いです。

何はともあれ、「坂の上の雲」を読破したので、これからはもう少しまめにブログを更新しようかと思います。

ただ、勢いにまかせて今度は「竜馬がいく」を全巻購入してしまいました。

H23年8月17日

診療室が個室である意味を考えたいと思います。

患者さんサイドからの個室であることの利点を考えると、

  • プライバシーが守られる(他の人に見られない、聞かれない)、
  • 空調の温度や風を変えられる、
  • 周りを気にせずに診療が受けられる、

といったところだと思います。

一方、個室である欠点を考えますと、

  • 閉塞感がある、
  • 他の患者さんがどのような感じでいるかがわからない、

といったことが考えられます。

当院は全ての診療室が完全個室となっています。

しかし、正直に言いますと私は個室が嫌いです。

美容室でも居酒屋でも、診療していても、診療されていても、個室にいるとなんだか息が詰まるような感じがします。

特に狭い個室なんかは最悪です。

ですから、当院の個室はなるべく広く間取りをとっていますし、ガラスをなるべく使った壁にしています。

扉も必要でなければ開けています。

個室=最新的、ではないと思います。

9月12日より、新しい診療室ができます。

今までの個室よりもさらに大きい間取りになります。

これで、インプラントや歯周病のオペもより快適に受けられるのではと思います。

H23年8月9日

今日、東京より長崎大学歯学部卒の同級生が見学に来てくれました。

卒業以来彼と会うのは初めてで、懐かしさと嬉しさのあまり診療中にも関わらず手を振ってしまいました。

彼とは大学時代にともに勉強しただけでなく、釣りに行ったり(私はほとんど坊主でしたが)、飲みに行ったりする仲でした。

診療後は近くの居酒屋で私の開業祝いをしてくれました。

ところで、久しぶりのブログであることもあり、開業してからまもなく3か月経過することもあり、ほろ酔いながら開業前に考えていたことを思い起こしてみました。

勤務医の頃は患者さんにより良い治療をしようと、主に技術の研鑽に励んでおりました。

開業をしようと決めたとき、ビジネスとは何かと初めて真剣に考えました。

私の経営の師曰く、ビジネスとは現実と理想に架ける橋のようなものだと。

Bridge Over Troubled Water

Simon and Garfunkelの名曲です。

人は誰しも幸せを求めて生きています。

しかし、現実は苦悩の連続であったりします。

ビジネスは、そのギャップにのみ存在すると。

私は歯科医師として、患者さんの噛めない、笑えない、痛いといった現実に対して橋を架けなければなりません。

その橋の向こうは、患者さんの望む理想でないといけません。

患者さんの理想をきちんと理解するとともに、どのような橋があるかを理解していただかないといけません。

私の自己満足ではいけないし、辿り着くことのない理想に向けた危うい橋を架けるわけにもいきません。

相互の理解があってこそなりたつものだと思います。

これからも堅固な橋を着実に架けていきたいものです。

H23年1月31日

今週末、長崎大学歯周病学講座の同門会に出席します。

演者として発表もするため、昨日やっと準備が終わりました。

開業してからは、なかなか長崎に行けることもないので、今回は存分に長崎を満喫したいと思います。

私を育ててくれた町、長崎。

院長 小塚義夫

患者さんのお悩み、お話しを最後までしっかりと聞いて
患者さんが本当に望む治療を提供できる歯科医院を目指しております。
名古屋市緑区の歯医者・つゆくさ歯科医院へどうぞ安心して何なりとご相談いただければと思います。

×

9:00~17:30

休診日 日曜日・祝日

052-693-8382